InnoGenic™ Wifi-Mesh
InnoGenic™ Wifi-Mesh는 흡수성 차폐막을 사용한 경우보다 결과의 예견성이 우수하며 기존 제품의
장점들을 극대화한 비흡수성 차폐막
1. InnoGenic™ Wifi-Mesh
- 세균 독소 침투 차단
- 높은 결과의 예견성
- 우수한 형상 유지 능력
- 치유 기간 조정
- Center Hole
- 다양한 사이즈
2. 제품소개
1. 제품구성
2. 사용방법
* 사용 및 적용군에 절대적인 디자인은 아니며 포괄적으로 최적화 되어 있음
GBR Screw & Abutment(BOSS)를 이용한 적용 방법
BOSS Type 1(BOSS Abutment)과 호환 사용

① 술전

② INNO Fixture

③ BOSS Abutment 골 이식

④ BOSS Abutment & Wifi-Mesh

⑤ 3주 치유

⑥ Wifi-Mesh 제거

전, 후 치은 높이보다 1mm 낮게
BOSS Type 1(BOSS Abutment)과 호환 사용 시술 시 고려 사항


Implant 식립 깊이
전후 Bone Level보다 1~2mm 깊게

BOSS Abutment 높이
전후 치은 높이보다 1mm 낮게

BOSS Abutment 선택
치은 높이에 따라 BOSS Abutment 선택
BOSS Type 2(BOSS Screw)과 호환 사용
-
치조골량 부족으로 Implant 초기 고정 불가능
-
Wifi-Mesh와 BOSS Screw를 이용한 수직 골 증대
가장 적절한 멤브레인은 비 흡수성! -
① 치조골량 부족으로 Implant 식립 불가
-
② BOSS Screw 중앙에 고정
-
③ 골이식 시행
-
④ Cover를 이용하여, Wifi-Mesh를 Screw에 장착
3. 임상증례
Case 1


수술 전


#45 Implant 식립


#47 Implant 식립


#45 & #46 부위 골 결손


#45 협측 골이식


Wifi-Mesh 준비 및 다듬기


#45 & #46 골 결손 부위에
Wifi-Mesh 위치시킴

#46 발치와 부위에 시행한
Open membrane technique







Case 1
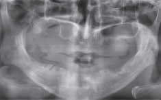
Dr. 장호열


수술 전 파노라마


수술 전 구내 사진


판막 거상


식립 부위 천공


#43, 44, 45 & 46
Implant 식립

Wifi-Mesh 준비


Wifi-Mesh 형태 형성 *


Wifi-Mesh 장착


#33, 34, 35 & 36
Implant 식립

절개(Releasing incision)


골 이식


Wifi-Mesh 준비


Wifi-Mesh 위치시킴


Membrane holding suture


봉합


수술 후 파노라마
* 확실히 구부려 형태를 형성하여야 하며, 불완전하게 구부릴 경우 치은 안에서 벌어질 수 있습니다.



