COWELL® BMPOsteoinductive Bone Graft , rhBMP-2 + BCP
- 국내 최초 재조합 제 2형 인간골형성단백질(rhBMP-2)을
β-TCP/HA(인산칼슘) 표면에 동결건조시킨 골이식재 - 2010년 KFDA 승인
- 2010년 치과용 골이식재로 출시
- TCP/HA를 전달체로 사용하기 때문에 공간유지가 가능함


제품특징
- 골재생을 위한 연조직의 Primary closure가 불필요
- 부착치은 재생
- 어려운 골이식술과 연조직 재생술을 쉽게 시술
- 세포에 직접 작용
- BMP 1g 당 1mg 포함(자가골은 1g당 2ng 포함)
작용기전
Migration of Cells with lamellipodia
Cellular mechanisms
- BMP-2가 세포의 세포막에 부착하여 핵의 유전자를 발현하여 이식부위로 이동
- BMP-2 성장인자와 Twist-2 전사인자 및 VFGF혈관 성장인자의 유전자에서
자생적 성장인자 합성하여 분비 - 골세포의 골아세포 증식, 진피에서 섬유아세포 증식, 피부에서 Keranocyte 증식
- Twist-2 전사인자가 골조직과 부착치은 부위별 조직 재생 유도

사용방법
골이식 준비과정 : 이식재와 BMP 용액 만들기
제품 용량 및 입자 크기
0.1g
| Product Code | Product Size |
|---|---|
| BB1010 | 0.41 ~ 1.0mm |
0.25g
| Product Code | Product Size |
|---|---|
| BB1025 | 0.41 ~ 1.0mm |
0.5g
| Product Code | Product Size |
|---|---|
| BB1050 | 0.41 ~ 1.0mm |
* 0.1g의 경우 하나의 발치와에 사용하고, 0.25g / 0.5g은 상악동이나 골결손부위가 광범위하다고 판단될 때 사용
골이식 방법 1 : 이식재 혼합 골이식
BMP 용액을 이식재와 혼합하여 골이식 후 차폐막으로 결손부를 덮음

골이식 방법 2 : BMP 용액 주사 방식
이식재로 골이식 후 차폐막으로 결손부를 덮고 부착치은을 통해 용액 주사

* 한 가지 방법을 선택하거나 두 방식을 혼합해서 사용해도 무방하나, BOSS 시스템 사용 시 BMP가 자가골 조직에 접촉하도록 용액 주사방식 권장
연구결과
생체내 연구
Jung-Bo Huh, et al., Alveolar ridge augmentation using anodized implants coated with Escherichia coli-derived recombinant
human bone morphogenetic protein 2 (Beagle dog)
human bone morphogenetic protein 2 (Beagle dog)
- Oral Surg Oral Med Oral Pathol Oral Radiol Endod 2011 -
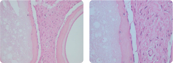
조직학적 소견 : 상악동 이식술(인간) 약 4개월 후 조직시편 채취

- 충진물 주위 신생골 형성
- 결합조직내 염증반응 관찰되지 않음
- Collagen fiber의 증식 관찰됨
- Fibrocyte의 증식 관찰됨
- 신생골 표면에 Osteoblast가 관찰됨
임상데이터
발치와에 골이식재 이식 3개월 후 주변골 수직 높이의 보존 효과 비교
서울대 분당병원, 연세대 치과병원, 고려대 구로병원에서 시행
| Group | Average | SD | 95%CI | †P value | |
|---|---|---|---|---|---|
| Height | Control | -1.087 | 1.413 | (-1.565, -0.609) | 0.0006** |
| Experiment | -0.059 | 0.960 | (-0.384, -0.266) | ||
| Width at 75% ESL | Control | 1.405 | 1.753 | (0.812, 1.998) | 0.346 |
| Experiment | 1.864 | 2.310 | (1.081, 2.644) | ||
| Width at 50% ESL | Control | 0.542 | 1.157 | (0.15, 0.934) | 0.016* |
| Experiment | 1.239 | 1.249 | (0.816, 1.662) | ||
| Width at 50% ESL | Control | 0.542 | 1.157 | (0.15, 0.934) | 0.016* |
| Experiment | 1.239 | 1.249 | (0.816, 1.662) | ||
SL : Extraction Socket Level *:P<.05, **:P<.01, †: Student t-test
Jung-Bo Huh, et al., Multicenter, randomized clinical trial on the efficacy and safety of Escherichia-coli-derived rhBMP-2
with β-Tricalcium phosphate and hydroxyapatite in human extraction sockets
with β-Tricalcium phosphate and hydroxyapatite in human extraction sockets
- J Adv Prosthodont 2011;4 -







