Volume-Up™ Guide System
치은조직과 치조골을 자연 치아와 잇몸 형태로 형성하는 Implant 술식으로
Implant 시술을 한 부위에 식편압입 예방 또는 최소화
1. Volume Up Implant System의 장점
- 치은조직과 치조골을 자연 치아와 잇몸 형태로 형성하는 Implant 술식으로 Implant 시술을 한 부위에 식편압입 예방 또는 최소화
- COWELL® BMP와 함께 사용 시 효과 극대화
2. 제품소개
1. 제품구성
Volume Up Healing Abutment
- Volume Up Guide System 가이드 시스템과 함께 사용 권장
- 잇몸 높이와 Abutment 유형에 따라 선택
- 1.2 Hex Driver를 사용하여 체결
- 조임 토크 : 25~35 N.cm
Volume Up Gauge
* 실제 직경은 Volume Up Gauge에 표기 된 직경보다 2mm 더 넓음
(Volume Up Gauge에 Ø6.5로 표기되어 있는 경우, 실제 직경은 Ø8.5)
- Implant 보철의 치경부를 자연 치아의 폭경으로 유지하도록 Implant 식립 위치 및 Healing Abutment 직경 선택할 수 있도록 안내
- 연속된 발치부에서는 Volume Up Parallel Pin과 함께 사용
- Point Drill과 함께 사용(Ø2.1mm 이하)
- 구강 내 어느 방향에서도 레이저 마킹 확인 가능
Volume Up Parallel Pin
- 연속된 발치부에서 Volume Up Gauge와 함께 사용
- 연속된 발치부에 사용
- Ø3.5, Ø4.5 및 Ø5.5의 경우, Volume Up Parallel Pin 대신, Fixture 식립 후 Healing Abutment 체결
2. 사용방법
-

Screw가 내장된 Volume Up Healing Abutment를 Fixture에 체결
-

체결 시 Explorer Tip을 이용하여
Abutment 방향 변동 방지 -

Easy Seal 등과 같은 수복재로
Screw Hole 충전
* 주의사항: 식립 torque 값 25N.cm 이상
I. 1개만 식립하는 경우
-

Volume Up Gauge를 Implant 식립부위에 위치하여 Healing Abutment 직경 확인
-

Volume Up Gauge의 홈에 맞춰 Point Drill의 위치 파악
-

제조사의 식립 순서에 맞춰 Drilling 후 Fixture 식립
-

Torque 값이 20~30N.cm 이상일 경우, Healing Abutment 체결하며, 이하일 경우 Cover Screw 체결 후 일차 봉합
II. 연속된 발치부에 2개 이상 식립하는 경우
-

Volume Up Gauge를 위치시킨 뒤
Point Drill 위치 파악 -

Point Drilling 후 생긴 구멍에
Volume Up Parallel Pin을 끼움 -

이전 단계와 동일하게 진행
3. 임상증례
Single Implant

술전

발치

발치와

Volume Up Gauge를 Implant 식립부위에 위치하여 Healing Abutment 직경 확인

Volume Up Gauge의 홈에 맞춰 Point Drill의 위치 파악

제조사의 식립순서에 맞춰 Drilling 후 Fixture 식립

Fixture 식립

Volume Up Healing Abutment 체결

술후
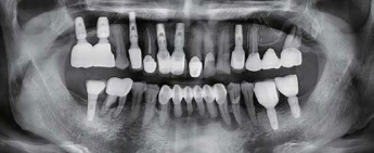
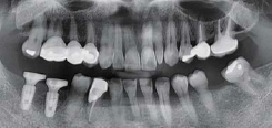
Multiple implants & bridge
-

술 전 파노라마
-

술전
-

Volume Up Gauge로 직경 확인 (Ø8.5)
-

Volume Up Gauge홈에 맞춰 Point Drill 위치
-

Point Drill 후 생성된 구멍에 Ø8.5 Volume Up Parallel Pin을 끼움
-

이 후, 앞의 임플란트 위치에 맞춰 Volume Up Gauge 위치 시켜 직경확인 (Ø7.5)
-

Volume Up Gauge 홈에 맞춰 Point Drill 위치
-

Point Drill 후 생성된 구멍에 Ø7.5 Volume Up Parallel Pin을 끼움
-

제조사의 식립 순서에 맞춰 Drilling 후 Fixture 식립
-

Fixture에 Volume Up Healing Abutment 체결
-

Easy Seal 등과 같은 수복재로 Screw Hole을 충전
-

술 후 파노라마



