InnoGenic™ Bone Carrier
- 일반적인 Bone Carrier의 경우, 좁은 입구 탓에 한 번에 많은 양의 골이식재를 옮길 수 없었으며 여러 골이식부에 적용할 수 없는 디자인이었습니다. 이러한 단점을 극복하기 위하여 InnoGenic™ Bone Carrier는 다양한 골이식부에 적용할 수 있으며 정확하고 깊숙히 골이식재를 이식할 수 있도록 설계 되었습니다.
단순히 골 이식에 사용되는 것 뿐 아니라 골유착 촉진을 위하여 친수성이 높은 Implant에 코웰BMP 용액을 코팅하는 용도로도 사용 가능합니다.
-
높은 실용성
단 하나의 기구로
여러 이식부에 사용 가능 -
우수한 삽입성
좁은 구멍에도
쉽게 이식 가능 -
높은 정확도
단 한방울의 COWELL®BMP 용액을
흘림 없이 Implant에 코팅 가능
Key Concepts
1. 좁은 입구로 인해 터널식 골이식술, 상악동 골이식술 등 대부분의 골이식술에 사용 가능
2. 골이식재를 감염 없이 이식부에 정확하고 안전하게 주입 가능
3. 삽입부의 원형 홈으로 인해 Implant에 COWELL®BMP 용액 코팅 용이
4. COWELL®BMP 용액과 골이식재를 원형 홈에 혼합하여 사용
* Bone Carrier의 길이는 94mm이며, 원형홈이 노출 되었을 때의 총 길이는 114mm입니다.
User Guide
수직 / 수평 골이식 시 : 대량의 골이식재를 Flap 내부로 방해받지 않고 전달
-

1. 발치
-

2. Bone Carrier로 골이식재 수집
-

3. 골이식재 이식
-

4. Membrane 이식
-

5. 봉합
상악동 거상술 시 : 대량의 골이식재를 Window 입구까지 정확히 전달
치조정접근법
-

1. Drilling
-

2. 상악동 하연골의 천공 체크
-

3. Aqua Membrane Lifter를 이용하여 Membrane 거상
-

4. Bone Carrier로 이식재를 주입하면서 Curette으로 이식
측방접근법
-

1. Window 형성 후 거상
-

2. Bone Carrier로 골이식재 주입
터널 테크닉 시 : 터널 내부에 박리 된 공간으로 깊숙이 골이식재 전달
-

1. 절개
-

2. 터널 절편 거상
-

3. Bone Carrier로 골이식재 수집
-

4. Bone Carrier를 골이식부에 삽입
-

5. 골이식재 주입
-

6. 봉합
임플란트에 CowellBMP 코팅 시 : CowellBMP 용액을 원형 홈에 3~4방울 떨어트려서 임플란트에 코팅
CowellBMP 용액 제조법
-

CowellBMP 용기 내 골이식재를 본디쉬에 담음
-

CowellBMP 용기 하단
rhBMP-2 분말에 식염수 주입 -

rhBMP-2 분말 10초 용해
-

주사기로 rhBMP-2 용액 흡입
-

1. Bone Carrier의 원형 홈에 먼저 rhBMP-2 용액을 주사
-

2. Hand-piece를 이용하여 원형 홈에 Fixture를 천천히 회전
-
Clinical Case
-
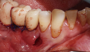
1. 술전
-
2. 터널 점막 거상
-
3. Bone Carrier로 골이식재 수집
-
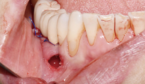
4. Bone Carrier를 터널 공간에 삽입
-
5. 터널 공간에 골이식재 주입
-
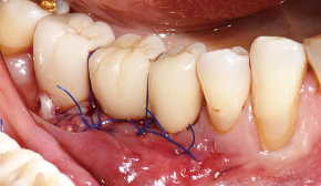
6. 골이식 후 터널 공간이 메워짐
-
7. 1차 봉합
-
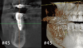
8. 술후



