Cowell BMPOsteoinductive Bone Graft , rhBMP-2 + BCP
Composition of COWELL BMP Bone Graft
- Bone graft material initially made in South Korea by freeze-drying recombinant human bone morphogenic
protein type 2 (rhBMP-2) on the surface of BCP - BCP as a carrier allows maintenance of space
Features of COWELL BMP Bone Graft
- Primary closure for soft tissue regeneration is not required
- Regenerates adherent gingiva
- Simplifies challenging bone grafting and soft tissue regeneration
- Acts directly on stem cells
- Induces bone regeneration without infection in extraction socket
- Contains 1 mg of bone morphogenic protein per 1g of the particle (1g of autologous bone contains 2ng of
bone morphogenic protein)
Application
A. Orthopedics
Bone grafts
- Fractures : Tibia, Radius, Ulna
- Spine Fusion (Degenerative Disc Disease)
: Interbody cage, Posteolateral
Injection Device
- Lengthening : Distraction Osteogenesis
- Osteoporosis : Hip joint fracture
- Bone Defect : Bone cyst
- Bone Fusion : Foot/shoulder revision
B. Dentistry
Bone grafts
- Severely resorbed alveolar ridges
- Tooth extraction socket
- Alveolar bone loss
- Maxillary sinus bone loss
- Bone-inductive implant : Coted implant
- Maxillofacial reconstruction
C. Dermatology
Soft Tissue Grafts
- Damaged skin regeneration
- Diabetes ulcer
Mechanism of Action of COWELL BMP Bone Graft
Migration of Cells with lamellipodia
Cellular mechanisms
- BMP-2 adheres to the membrane of stem cell and induces expression of
genes of nucleus. Then, BMP-2 migrates to recipient site. - BMP-2 growth factor, Twist-2 transcriptional factor, and VEGF growth
factor synthesize and secrete endogenous growth factor. - Proliferation of osteoblast of osteocyte, and proliferation of fibroblast in dermis
and keratinocyte of the skin. - Twist-2 transcriptional factor induces tissue regeneration in osseous tissue
and adherent gingival area.

Product Type
COWELL® BMP Reagent (BMP Powder ONLY)
| Product Code | BMP Dose | Packing Unit |
|---|---|---|
| B5025 | 0.25mg | Sea / Package |
| B5050 | 0.5mg | Sea / Package |
| B5100 | 1mg | Sea / Package |
- The product is supplied lyophilized.
- Do not sterilize as the product is supplied sterile (Method : .2㎛, filteration)
- For vitro experiment, use in solution.
- For vivo experiment, use proper carrier.
- The product is only for Research
COWELL® BMP (One vial)
- Dose and Particle Size of COWELL® BMP
* A vial of 0.1g can be used for less than one extraction socket, while 0.25g/0.5g can be used for maxillary sinus or for the wide bone defect area.
COWELL® BMP Plus (Two vials)
- Dose and Particle Size of COWELL® BMP
INNO GF Kit(Two vials)
- Dose and Particle Size of INNO GF Kit
User Guide COWELL BMP Bone Graft
Method I
-
Transfer BCP graft material (Vial I)
(+ autogenic / allograft into a container) -
Inject distilled water into vial II with lyophilized
rhBMP-2 power in it and mix with the powder -
Mix BMP solution with BCP or plus autogenic
/ allograft and apply into the recipient site -
Cover the defect area using a barrier membrane
or suture natural soft tissue without membrane
Method II
-
Transfer BCP graft material
(Vial I) into a container -
Apply BCP or plus autogenic / allograft) into
the recipient site and cover the defect area
using a barrier membrane or suture natural
soft tissue without membrane -
Inject distilled water into lyophilized
rhBMP-2 powder (vial II) -
Mix rhBMP-2 with distilled water (saline
solution) and wait for 10 to 15 mintues
before usinge -
Aspirate the mixture using a syringe
-
Inject BMP solution through soft tissue
until needle of syringe reaches bone
Method III
-
Inject distilled water into vial II with lyophilized
rhBMP-2 power in it and mix with the powder -
Aspirate the mixture using a syringe
-
Hydrate BMP-2 solution into membrane
-
Apply BMP-2 solution socked membrane
to damaged site
Dose distilled water to make the mixture (BMP-2 Solution)
| BMP Dose | Distilled Water Dose | BMP Dose | Distilled Water Dose |
|---|---|---|---|
| 0.1mg | 0.1ml | 2mg | 1.6ml |
| 0.25mg | 0.2ml | 5mg | 4ml |
| 0.5mg | 0.4ml | 10mg | 8ml |
| 1mg | 0.8ml | 20mg | 16ml |
Study Result on COWELL BMP Bone Graft
In vivo Study
human bone morphogenetic protein 2 (Beagle dog)
- Oral Surg Oral Med Oral Pathol Oral Radiol Endod 2011 -
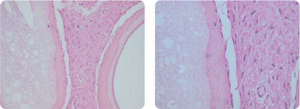
Histologic Findings
: Tissue specimen collected approximately four months
after the maxillary sinus grafting
(human)

- New bone was formed around the graft material.
- No inflammatory reaction was observed in connective tissue.
- Proliferation of collagen fiber was observed.
- Proliferation of fibrocyte was observed.
- Osteoblast was observed on the surface of newly formed bone.
Clinical Data of COWELL BMP Bone Graft
- Vertical height of surrounding bone was compared three months after grafting in extraction socket.
The study was conducted at Seoul National University Bundang Hospital, Yonsei University Dental Hospital, and Korea University Guro Hospital.
| Group | Average | SD | 95%CI | †P value | |
|---|---|---|---|---|---|
| Height | Control | -1.087 | 1.413 | (-1.565, -0.609) | 0.0006** |
| Experiment | -0.059 | 0.960 | (-0.384, -0.266) | ||
| Width at 75% ESL | Control | 1.405 | 1.753 | (0.812, 1.998) | 0.346 |
| Experiment | 1.864 | 2.310 | (1.081, 2.644) | ||
| Width at 50% ESL | Control | 0.542 | 1.157 | (0.15, 0.934) | 0.016* |
| Experiment | 1.239 | 1.249 | (0.816, 1.662) | ||
| Width at 50% ESL | Control | 0.542 | 1.157 | (0.15, 0.934) | 0.016* |
| Experiment | 1.239 | 1.249 | (0.816, 1.662) | ||
SL : Extraction Socket Level *:P<.05, **:P<.01, †: Student t-test
with β-Tricalcium phosphate and hydroxyapatite in human extraction sockets
- J Adv Prosthodont 2011;4 -






