Cowell BMPOsteoinduktives Knochentransplantat , rhBMP-2 + BCP
Zusammenstellung des COWELL BMP Bone Graft
- Das Knochentransplantat-Material wurde ursprünglich in Südkorea hergestellt, indem Rekombinant Knochen
Morphogenic Protein Typ 2 (rhBMP-2) auf der Oberfläche des BCP gefriergetrocknet - BCP ist ein Carrier der es möglich macht, Platz beizubehalten
Eigenschaften des COWELL BMP Knochentransplantats
- Primärer Verschluss ist für Weichgewebe-Regeneration nicht erforderlich
- Regeneriert anhängendes Zahnfleisch
- Vereinfacht herausfordernden Knochen-Implantat Vorgang und Weichgewebe-Regeneration
- Wirkt direkt auf Stammzellen
- Induziert Knochenregeneration ohne Infektion des Extraktions-Sockels
- Enthält 1mg Bone Morphogenic Protein pro 1g des Partikels (1g autogen Knochen enthält 2g
Bone Morphogenic Protein)
Anwendung
A. Orthopädie
Knochentransplantate
- Frakturen : Tibia, Radius, Ulna
- Wirbelsäulenfusion(degenerative Bandscheiben-Erkrankung)
: Interkörper-Käfig, posterolateral
Injektionsgerät
- Verlängerung: Distraktionsosteogenese
- Osteoporose: Hüftgelenkfraktur
- Knochendefekt Knochenzyst
- Knochenfusion: Fuß/Schulter-Revision
B. Zahnmedizin
Knochentransplantate
- Schwer resorbierte Alveolarkämme
- Zahn-Extraktionsalveole
- Alveolarknochenverlust
- Verlust von maxillaren Sinus-Knochen
- Knocheninduktives Implantat: Beschichtetes Implantat
- Maxillofaciale Rekonstruktion
C. Dermatologie
Weichgewebetransplantate
- Beschädigte Hautregeneration
- Diabetes Geschwür
Mechanismus des COWELL BMP Knochentransplantats
Zellmigration mit Lamellipodia
Zellulärer Mechanismus
- BMP-2 haftet an der Membrane der Stammzelle und induziert eine
Expression der nucleos Gene. Dann migriert BMP-2 zu der Empfangsstelle.. - BMP-2 Wachstumsfaktor, Twist-2 Transkriptionsfakter und VEGF Wachstumsfaktor
synthetisieren und scheiden endogene Wachstumsfaktor aus. - Proliferation der Knochenbildner des Osteozyten und Proliferation von Fibroblast
in Dermis und Keratinozyt der Haut. - Twist-2 Transkriptionsfakter induziert Geweberegeneration in Knochengewebe
und dem angehefteten Zahnfleischbereich.

Produkt-Typ
COWELL® BMP Reagent (BMP Powder ONLY)
| Product Code | BMP Dose | Packing Unit |
|---|---|---|
| B5025 | 0.25mg | Sea / Package |
| B5050 | 0.5mg | Sea / Package |
| B5100 | 1mg | Sea / Package |
- Das Produkt wird gefriergetrocknet bereitgestellt.
- Sterilisieren Sie das Produkt nicht, da es sterilisiert bereitgestellt ist(Method : .2㎛, filteration)
- Für Vitro Experiment in Lösung benutzen.
- Für Vitro Experiment angemessenen Carrier benutzen.
- Das Produkt ist nur für Forschung gedacht.
COWELL® BMP (One vial)
- Dosierung und Partikelgröße von COWELL® BMP
* Eine Ampulle von 0.1g kann für weniger als eine Extraktionsalveole verwendet werden, während 0.25g/0.5g für maxillare Sinus oder für den weiten Knochendefekt-Bereich verwendet werden kann.
COWELL® BMP Plus (Two vials)
- Dosierung und Partikelgröße vonCOWELL® BMP
INNO GF Kit(Two vials)
- Dosierung und Partikelgröße von INNO GF Kit
Nutzeranleitung COWELL BMP Bone Graft
Method I
-
BCP Transplantatmaterial transferieren(AmpulleⅠ)
(+ Autogen / Allotransplantat in einen Behälter) -
Injizierten Sie destilliertes Wasser in Ampulle Ⅱ mit
liophilisiertem rhBMP-2 und vermischen Sie es mit dem Puder -
Vermischen Sie BMP Lösung mit BCP oder
Plus-Autogen / Allotransplantat und tragen Sie
es auf die Empfängerstelle auf -
Decken Sie den defekten Bereich mithilfe einer
Barrieremembrane oder vernähen Sie
das Weichgewebe ohne Membran
Method II
-
Transferieren Sie BCP Transplantat-Material
(Ampulle I) in einen Behälter -
Tragen Sie BCP oder plus Autogen/Allotransplantat)
auf die Empfängerstelle auf und decken Sie den
defekten Bereich mithilfe einer Barrieremembrane
oder vernähen Sie das Weichgewebe ohne Membran -
Injizieren Sie destilliertes Wasser in
gefriergetrocknetes rhBMP-2 ( Ampulle II ) -
Vermischen Sie rhBMP-2 mit destilliertem
Wasser ( Salzlösung ) und warten Sie
vor der Nutzung für 10 bis 15 Minuten -
Saugen Sie die Mischung mit einer Spritze ab
-
Injizieren Sie die BMP Lösung durch
Weichgewebe bis die Spritze auf Knochen stößt
Method III
-
Injizierten Sie destilliertes Wasser in Ampulle Ⅱ mit
liophilisiertem rhBMP-2 und vermischen Sie es mit dem Puder. -
Saugen Sie die Mischung mit einer Spritze ab
-
Hydrierte BMP-2 Lösung in die Membrane
-
Tragen Sie BMP-2 Lösung Membrane auf
die beschädigte Stelle auf
Dosieren Sie destilliertes Wasser, um die Mischung zu erstellen (BMP-2 Solution)
| BMP Dose | Distilled Water Dose | BMP Dose | Distilled Water Dose |
|---|---|---|---|
| 0.1mg | 0.1ml | 2mg | 1.6ml |
| 0.25mg | 0.2ml | 5mg | 4ml |
| 0.5mg | 0.4ml | 10mg | 8ml |
| 1mg | 0.8ml | 20mg | 16ml |
Studienergebnis zu COWELL BMP Bone Graft
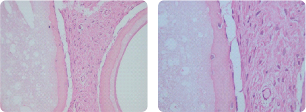
In vivo Study
human bone morphogenetic protein 2 (Beagle dog)
- Oral Surg Oral Med Oral Pathol Oral Radiol Endod 2011 -
Histologic Findings
: Gewebeprobe, die ungefähr vier Monate nach dem maxillaren Sinusaufbau (menschlich)
gesammelt wurde

- Neue Knochen wurden um das Implantat-Material geformt
- In dem Bindegewebe wurden keinerlei Entzündungsreaktionen festgestellt.
- Proliferation von Kollagenfasern wurde beobachtet.
- Proliferation von Fibrozyt wurde beobachtet.
- Osteoblast wurde auf der Oberfläche des neu geformten Knochen beobachtet.
Klinisches Datum des COWELL BMP Bone Graft
Vertikale Höhe des umliegenden Knochens wurde drei Monate nach der Transplantation in der Extraktionsalveole verglichen.
Die Studie wurde in dem Seoul National University Bundang Hospital, Yonsei University Dental Hospital, and Korea University Guro Hospital.
| Group | Average | SD | 95%CI | †P value | |
|---|---|---|---|---|---|
| Height | Control | -1.087 | 1.413 | (-1.565, -0.609) | 0.0006** |
| Experiment | -0.059 | 0.960 | (-0.384, -0.266) | ||
| Width at 75% ESL | Control | 1.405 | 1.753 | (0.812, 1.998) | 0.346 |
| Experiment | 1.864 | 2.310 | (1.081, 2.644) | ||
| Width at 50% ESL | Control | 0.542 | 1.157 | (0.15, 0.934) | 0.016* |
| Experiment | 1.239 | 1.249 | (0.816, 1.662) | ||
| Width at 50% ESL | Control | 0.542 | 1.157 | (0.15, 0.934) | 0.016* |
| Experiment | 1.239 | 1.249 | (0.816, 1.662) | ||
SL : Extraction Socket Level *:P<.05, **:P<.01, †: Student t-test
with β-Tricalcium phosphate and hydroxyapatite in human extraction sockets
- J Adv Prosthodont 2011;4 -






