Cowell BMPOsteoinductive Bone Graft , rhBMP-2 + BCP
产品构成
- 该产品是将韩国首次开发的重组第二型人骨形成蛋白质(rhBMP-2)在BCP表面上冻结干燥的骨移植材料。
- BCP可作为一种修复骨缺损的载体。
产品特点
- 不需要为了骨再生进行一期缝合软组织。
- 附着牙龈再生。
- 可以进行有难度的骨移植手术和软组织再生。
- 直接应用到干细胞。
- 在拔牙窝内诱导骨再生且无感染。
- 每一克粒子中包含一毫克的骨形成蛋白质。(自体骨1g中包含2ng的骨形成蛋白质)
Application
A. Orthopedics
Bone grafts
- Fractures : Tibia, Radius, Ulna
- Spine Fusion (Degenerative Disc Disease)
: Interbody cage, Posteolateral
Injection Device
- Lengthening : Distraction Osteogenesis
- Osteoporosis : Hip joint fracture
- Bone Defect : Bone cyst
- Bone Fusion : Foot/shoulder revision
B. Dentistry
Bone grafts
- Severely resorbed alveolar ridges
- Tooth extraction socket
- Alveolar bone loss
- Maxillary sinus bone loss
- Bone-inductive implant : Coted implant
- Maxillofacial reconstruction
C. Dermatology
Soft Tissue Grafts
- Damaged skin regeneration
- Diabetes ulcer
COWELL BMP的作用机理
板层伪足细胞的迁移
细胞机制
- 骨形成蛋白质附着在干细胞膜上,并且诱导细胞核状态。然后BMP-2转移到受区部位。
- BMP-2生长因子,Twist-2转录因子,血管内生长因子合成和分泌内源性生长因子。
- 骨细胞中的成骨细胞增殖,真皮成纤维细胞和表皮角化细胞增殖。
- Twist-2 转录因子诱导骨组织和附着牙龈中的组织再生。

产品类型
COWELL BMP 试剂(只有BMP粉末)
| Product Code | BMP Dose | Packing Unit |
|---|---|---|
| B5025 | 0.25mg | Sea / Package |
| B5050 | 0.5mg | Sea / Package |
| B5100 | 1mg | Sea / Package |
- 该产品是冻干的。
- 该产品是由于无菌状态不要消毒。
- 为了体外实验,使用溶液状态。
- 为了体内实验,使用合适的载体
- 该产品仅用于研究。
COWELL® BMP (One vial)
- Dose and Particle Size of COWELL® BMP
* 一小瓶含量为0.1g的试剂可以用于不到一次的拔牙后的齿糟,0.25g/0.5g的试剂可以用于上颌窦或范围较大的骨缺损区。
COWELL® BMP Plus (Two vials)
- Dose and Particle Size of COWELL® BMP
INNO GF Kit(Two vials)
- Dose and Particle Size of INNO GF Kit
Cowell BMP 骨移植材料使用方法
方法I
-
将移植材料BCP放入容器中(瓶子1)
-
将蒸馏水注入rhBMP-2粉末(瓶子2)
-
BMP粉末与BCP相混合。
-
覆盖缺损部位以用屏障膜或无膜的天然软组织缝合。
方法 II
-
将移植材料BCP放入容器中(瓶子1)
-
将BCP或加量的同种异体移植骨材料应用到受区,
并使用屏障膜或无膜的天然软组织覆盖在受损部位。 -
将蒸馏水注入rhBMP-2粉末(瓶子2)
-
将盐溶液与rhBMP-2相混合,然后使用之前等待10-15分钟。
-
用注射器吸出混合物
-
f. 将注射器针到骨内软组织注入BMP溶液。
方法 III
-
将蒸馏水和rhBMP-2粉末一起注入瓶2中,并进行混合。
-
用注射器吸出混合物。
-
将rhBMP-2溶液水化成膜状。
-
将rhBMP-2溶液膜状物嵌入到受损部位。
Dose distilled water to make the mixture (BMP-2 Solution)
| BMP Dose | Distilled Water Dose | BMP Dose | Distilled Water Dose |
|---|---|---|---|
| 0.1mg | 0.1ml | 2mg | 1.6ml |
| 0.25mg | 0.2ml | 5mg | 4ml |
| 0.5mg | 0.4ml | 10mg | 8ml |
| 1mg | 0.8ml | 20mg | 16ml |
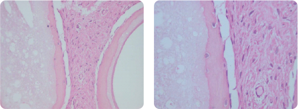
COWELL BMP骨移植的研究成果
体内研究
Jung-Bo Hun等人,使用途有大肠埃希氏菌属衍生的重组人骨形成蛋白质-2的阳极氧化种植体的牙糟嵴增高术。(小猎犬)
- 口腔外科口腔医学口腔病理学口腔影像诊断2011 -
组织学研究结果
: 上颌骨窦移植约四个月后收集组织标本(人体)

- 移植材料周围形成新骨。
- 结缔组织中未见炎症反应
- 观察胶原纤维的增殖。
- 观察到纤维细胞的增殖。
- 在新骨表面上观察到成骨细胞。
COWELL BMP骨移植的临床资料
- 拔牙移植手术三个月后对周围骨垂直高度进行比对。
- 该研究是在首尔国立大学盆唐医院,延世大学口腔医院和韩国大学精品医院里进行的。
| Group | Average | SD | 95%CI | †P value | |
|---|---|---|---|---|---|
| Height | Control | -1.087 | 1.413 | (-1.565, -0.609) | 0.0006** |
| Experiment | -0.059 | 0.960 | (-0.384, -0.266) | ||
| Width at 75% ESL | Control | 1.405 | 1.753 | (0.812, 1.998) | 0.346 |
| Experiment | 1.864 | 2.310 | (1.081, 2.644) | ||
| Width at 50% ESL | Control | 0.542 | 1.157 | (0.15, 0.934) | 0.016* |
| Experiment | 1.239 | 1.249 | (0.816, 1.662) | ||
| Width at 50% ESL | Control | 0.542 | 1.157 | (0.15, 0.934) | 0.016* |
| Experiment | 1.239 | 1.249 | (0.816, 1.662) | ||
SL : Extraction Socket Level *:P<.05, **:P<.01, †: Student t-test
Jung-Bo Huh等人,多中心研究,在人体拔牙过程中埃希氏菌属大肠杆菌重组人骨形成蛋白质-2与β-磷酸三钙和羟酸灰石的效果和安全性的随机临床试验。
- J Adv口腔颌面修复学杂志2011;4 -






